ホワイトニング
ホワイトニングとは汚れたり変色した歯を白くすることです。
歯の表面の着色、汚れなどは機械的にクリーニング、清掃します。
歯そのもの自体を白くするときは薬品を使って白くします。
歯科医院で行うオフィスホワイトニングとご自宅で行うホームホワイトニングがあります。
いずれの場合も生活習慣(タバコ・ワイン・着色しやすい飲料水など)で効果に差がでます。また、個人差によって色の後戻りがあります。
歯を削らないで色を白くしたい場合
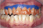
オフィスホワイトニング
オフィスホワイトニングは白くしたい歯に薬品を15分間塗ります。これを3回繰り返し効果を狙います。この3回で効果が現れないときは、日を改めて同様のことをします。
ホームホワイトニング
ホームホワイトニングは歯型を採りマウストレーを作り、その中にホワイトニングジェルを入れて1日2時間装着します。約2週間続けます。
色の後戻りが起きる前にホームホワイトニングをして白さを維持することをお勧めしています。
当院は厚生労働省から許可されている商品を使用しています。

ガムピーリング
歯ぐきの黒ずみは、お肌のシミや日焼けと同じメラニン色素です。
口呼吸の方やたばこを吸われる方は、歯ぐきに刺激が加わっているためにメラニン色素の沈着が起こりやすいです。
黒ずんだ歯ぐきより、ピンク色のほうが顔色も良く見え口元の印象は変わります。
表面麻酔後に歯ぐきに薬剤を塗ります。治療後歯ぐきが白くなり2~3日後に薄い膜となって自然にはがれます。その後1~2週間でピンク色の歯ぐきに変わります。
黒ずみの程度により個人差はありますが1~3回位できれいになります。


